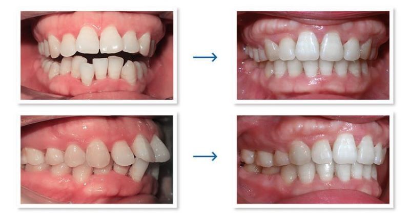
Niềng răng được coi là phương pháp chỉnh nha hiện đại giúp bạn có một hàm răng đều đẹp như mong muốn. Tuy nhiên nhiều người vẫn chưa hiểu rõ về phương pháp này cũng như có tâm lý sợ đau khi niềng răng. Vậy các giai đoạn niềng răng quan trọng và giai đoạn đau nhất của niềng răng khi nào? Hãy cùng Nha khoa Đại Nam theo dõi ngay bài viết dưới đây để giải đáp các thắc mắc trên!
Trước khi hoàn tất quá trình niềng răng, bạn sẽ phải trải qua 5 giai đoạn niềng răng cụ thể dưới đây:
Ở giai đoạn này, bác sĩ sẽ thực hiện giãn dây chằng quanh răng bằng việc gắn trực tiếp mắc cài và dây cung lên răng. Sau đó bác sĩ sẽ gắn khâu niềng vào giữa kẽ răng hàm số 6 và số 7, nhằm tạo điểm tựa để tạo ra lực kéo giúp răng dịch chuyển. Trường hợp khoảng cách giữa hai răng hàm số 6 và số 7 này của bạn sát khít vào nhau thì sẽ được bác sĩ đặt thun tách kẽ.
Giai đoạn dàn đều răng là giai đoạn chính thức bắt đầu trong quá trình nắn chỉnh răng, thời gian dàn đều răng thông thường sẽ mất khoảng 2 tháng đến 4 tháng. Bác sĩ sẽ thay mắc cài và dây cung có kích thước lớn hơn các mắc cài trước đây nhằm xoay trục răng và làm phẳng đều cung răng. Đối với một số trường hợp không có chỗ cho răng về đúng vị trí trên cung hàm, tùy vào tình trạng răng hàm mà bạn sẽ được bác sĩ chỉ định nhổ hay cắt kẽ răng.

Giai đoạn đóng khoảng trong niềng răng được nhiều người nhận xét là giai đoạn xấu nhất khi niềng răng. Vì lúc này, bác sĩ sẽ thực hiện kéo răng nanh và răng cửa, để lấp khoảng khe thưa của răng số 4 đã bị mất, nhờ vào cơ chế trượt dây cung. Mặt khác nếu bạn không bị nhổ răng này thì chỉ cần nắn chỉnh răng lệch lạc và tiến hành chuyển sang giai đoạn kế tiếp. Giai đoạn này đòi hỏi kỹ thuật, sự cẩn thận và kỹ năng chuyên môn cao của bác sĩ để không làm chân răng bật ra khỏi xương hàm.

Trong quá trình niềng răng sẽ có giai đoạn chỉnh khớp cắn, vì khi nắn chỉnh răng về đúng vị trí sẽ kéo theo sự lệch lạc nhẹ về khớp cắn. Giai đoạn này bác sĩ sẽ chỉnh khớp cắn của cả hai hàm sao cho đúng chuẩn, để giúp lực nhai phân bố đều hơn. Có thể nói, niềng răng không chỉ giúp nắn chỉnh răng mà còn giúp sửa xương hàm, giúp khuôn mặt của bạn trở nên hài hòa và cân đối hơn.
Trải qua một thời gian dài niềng răng thì có lẽ giai đoạn tháo niềng là giai đoạn cố định trong niềng răng mà tất cả đồng niềng đều mong đợi. Bác sĩ sẽ tiến hành tháo gỡ mắc cài, dây cung hoặc khay hàm ra khỏi hàm răng của bạn. Sau đó, bác sĩ sẽ tiến hành vệ sinh kỹ càng và đánh bóng răng của bạn, trường hợp bạn không may gặp phải bệnh lý khác về răng miệng sau khi niềng như sâu răng, ố vàng thì bác sĩ cũng sẽ tiến hành điều trị cho bạn.
Sau khi tháo niềng, bạn cần phải đeo hàm duy trì theo đúng chỉ định của bác sĩ về thời gian để đảm bảo răng không dịch chuyển về lại vị trí cũ.

Có thể nói giai đoạn đau nhất của niềng răng đó là giai đoạn đầu và khi đặt thun tách kẽ. Bởi vì khi bác sĩ thực hiện gắn mắc cài, răng phải chịu sự tác động nên chưa kịp thích ứng, dẫn đến cảm giác đau nhức và khó chịu. Trường hợp phải đặt thun tách kẽ, bác sĩ sẽ phải tạo một vùng hở trên răng để có thể gắn khâu vào để cho răng dịch chuyển.
Việc đặt thun tách kẽ có kích thước khoảng 2mm trong thời gian từ 5 ngày đến 7 ngày, vào vị trí kẽ hở của 2 răng thì bạn sẽ cảm thấy bị cộm hay khó chịu, thậm chí có cảm giác hơi ê răng, đau nhẹ khi ăn nhai, đặc biệt là khi thức ăn vướng vào vị trí đặt thun tách kẽ. Sau vài ngày, cảm giác này sẽ dần thuyên giảm và biến mất hoàn toàn.
Tuy nhiên, cảm giác đau khi niềng răng không phải ai cũng trải qua, cơn đau sẽ tùy vào cơ địa và mức độ chịu đau của từng người, sẽ có một vài trường hợp cảm thấy hơi nhạy cảm nhẹ, thậm chí là không thấy đau nhức gì. Vì thế chỉ cần nền răng của bạn chắc khỏe, bạn được niềng răng bởi bác sĩ có kinh nghiệm và tay nghề cao, cũng như lựa chọn phương pháp niềng răng phù hợp, cùng ứng dụng công nghệ hiện đại là đã có thể yên tâm và không cần lo lắng về vấn đề giai đoạn đau nhất của niềng răng.

Khi niềng răng, bạn có thể sẽ trải qua một vài cơn đau nhức, tuy nhiên chỉ cần tham khảo những hướng dẫn sau đây, sẽ giúp bạn hạn chế và giảm cơn đau nhức một cách nhanh chóng.
Niềng răng có đau không còn phụ thuộc vào chế độ ăn uống dinh dưỡng mỗi ngày của bạn. Bạn cần ưu tiên các loại thực phẩm mềm như món luộc, cháo, súp, sữa chua và nước ép trái cây, phải hạn chế ăn các thức ăn cứng hoặc giòn để tránh làm tổn thương, cũng như tránh tác động mạnh làm lệch hay đứt dây niềng răng. Ngoài ra còn hạn chế lực nhai giúp giảm cảm giác ê nhức, khó chịu.

Một số trường hợp trong quá trình niềng răng, bạn có thể sẽ bị các vết loét, nhiệt miệng trên má, lợi do bị mắc cài cọ xát. Bác sĩ sẽ cho bạn sử dụng sáp chỉnh nha để hạn chế vết loét và bảo vệ má, môi, nướu… tránh những trường hợp đau, xước do mắc cài gây ra trong khi ăn nhai hoặc giao tiếp. Đây cũng là một trong những cách giúp giảm đau hiệu quả khi niềng răng.
Cách sử dụng sáp nha khoa cũng rất đơn giản, bạn chỉ cần bôi một ít sáp vào mắc cài dễ gây cọ xát hay chảy máu, lúc này sáp nha khoa sẽ đóng vai trò bao phủ, giúp giảm lực ma sát gây tổn thương mô nướu.
Khi gặp cảm giác đau nhức khi niềng răng bạn có thể sử dụng cách chườm đá để giảm đau nhanh chóng. Nếu sau khi niềng răng hoặc mỗi lần siết răng định kỳ mà bạn cảm thấy bị đau, thì bạn có thể sử dụng túi chườm đá vào khu vực bị nhức đó.

Ngoài các cách giảm đau trên, bạn cũng có thể giảm đau bằng cách súc miệng với nước muối ấm trong vòng 60 giây, để có thể giảm kích ứng và viêm loét. Trong những trường hợp phát hiện những cơn đau bất thường khi niềng răng, bạn cần liên hệ với Bác sĩ điều trị để được hỗ trợ kịp thời.
Ngoài ra bạn cũng cần lưu ý rằng độ tuổi niềng răng lý tưởng nhất là ở độ tuổi khoảng 13 – 16 tuổi, lúc này xương hàm đang ở thời kỳ phát triển nên việc nắn chỉnh và di chuyển răng trở nên dễ dàng hơn, giảm thiểu các cơn đau và rút ngắn thời gian niềng răng. Bạn nên lựa chọn Nha khoa niềng răng Chuyên sâu để đảm bảo quá trình niềng răng diễn ra thuận lợi và mang đến kết quả tốt nhất, tránh được rủi ro hay tình trạng đau nhức trong suốt quá trình niềng răng.

Với mong muốn mang đến cho khách hàng những trải nghiệm dịch vụ chăm sóc răng miệng tiên tiến nhất trên thế giới, Hệ thống Nha Khoa Đại Nam đến nay đã không ngừng phát triển. Đáp ứng mọi nhu cầu của khách hàng với chi phí hợp lý cùng quy trình thăm khám chuyên nghiệp, tự hào là một trong những địa chỉ niềng răng uy tín hàng đầu khu vực.
Hệ thống Nha Khoa Đại Nam hiện nay đã có hơn 30 chi nhánh được xây dựng trên cả nước. Với cơ sở vật chất khang trang, sạch sẽ và hiện đại, đầy đủ tiện nghi, phòng khám thiết kế riêng biệt theo tiêu chuẩn. Đáp ứng mọi nhu cầu thăm khám, tư vấn và sử dụng dịch vụ niềng răng chất lượng và uy tín của đông đảo khách hàng.
Hệ thống Nha Khoa Đại Nam quy tụ đội ngũ bác sĩ chuyên môn giỏi, tay nghề cao, giàu kinh nghiệm, tốt nghiệp tại các trường y khoa danh tiếng tiếng, chứng chỉ hành nghề theo quy định của Bộ Y tế đều có đầy đủ. Các bác sĩ thường xuyên được đưa đi tu nghiệp, tham gia các hội thảo, khóa đào tạo nâng cao chuyên môn tại nước ngoài. Đội ngũ bác sĩ tại Hệ thống Nha Khoa Đại Nam luôn hết lòng vì khách hàng, mang đến kết quả điều trị tốt nhất, giúp khách hàng lấy lại hàm răng chắc khỏe, nụ cười tự tin và thuận lợi hơn trong công việc.

Hệ thống Nha Khoa Đại Nam là đơn vị tiên phong trong việc cập nhật và ứng dụng các thiết bị máy móc hiện đại vào quá trình thăm khám, chẩn đoán và lên phác đồ điều trị răng hàm mặt. Tất cả trang thiết bị tại đây đều được nhập khẩu từ nước ngoài, đã qua đánh giá chất lượng nghiêm ngặt, nên rất an toàn và mang tính chuẩn xác cao, bao gồm như: Máy chụp phim X-Quang ConeBeam CT 3D, máy CAD/CAM 3D, iTero 5D Plus…
Hơn nữa, Hệ thống Nha Khoa Đại Nam còn xây dựng phòng điều trị vô trùng khép kín và an toàn, nhằm giúp đạt được kết quả tốt nhất, đẩy nhanh thời gian phục hồi và sức khỏe của khách hàng.

Hy vọng bài viết sẽ giải đáp cho bạn những thắc mắc về các giai đoạn niềng răng. Hãy để Hệ thống Nha Khoa Đại Nam giúp bạn sở hữu hàm răng đều đẹp và luôn cảm thấy tự tin với nụ cười rạng rỡ nhất. Liên hệ với chúng tôi qua hotline 096 4444 999 để đặt lịch hẹn thăm khám và tư vấn niềng răng miễn phí.
Tags
Bài viết liên quan
Để lại số điện thoại để được tư vấn miễn phí
Chúng tôi sẽ liên hệ lại với bạn trong thời gian sớm nhất
Họ và tên
VD: Nguyen Văn A
Số điện thoại
VD: 0912345**
Nha khoa Đại Nam là hệ thống nha khoa toàn diện và chuyên nghiệp, đặc biệt về chỉnh nha và implant, đáp ứng trọn vẹn nhu cầu nha khoa của khách hàng.
0964.444.999
Chat ngay
Nha Khoa Đại Nam
Hệ thống nha khoa uy tín hàng đầu cả nước
Nha Khoa Đại Nam quy tụ đội ngũ bác sĩ, phụ tá có trình độ chuyên môn giỏi, đều tốt nghiệp tại các trường đại học nổi tiếng cả nước và có kinh nghiệm.
Chính sách
Liên hệ
Email:
marketing.nhakhoadainam
@gmail.com
Giờ làm việc:
Thứ 2 - Thứ 7 (08:00 - 20:00)
Chủ Nhật (08:00 - 18:00)
Lưu ý: Kết quả tùy thuộc vào cơ địa của mỗi người
Công Ty TNHH MTV Nha Khoa Thẩm Mỹ Đại Nam | Mã số thuế: 0307552716 do sở Khoa học & Đào tạo Thành Phố Hồ Chí Minh cấp.





